Saç Uzaması için Kök Hücreleri Harekete Geçirmenin Yeni Yolu

UCLA Broad Stem Cell Center/Nature Cell Biology
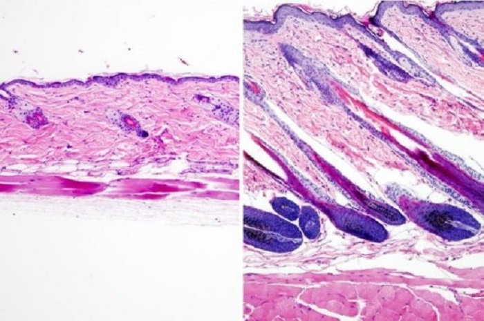
Saç uzaması gösteren UK5099 ilacı ile tedavi edilen fare derisi (sağda) ile kıyaslandığında, tedavi edilmemiş fare derisi saç uzaması göstermiyor (solda).
UCLA araştırmacıları saç uzaması için saç köklerindeki kök hücreleri harekete geçirmenin yeni bir yolunu keşfetti. Bilim insanları Heather Christofk ve William Lowry önderliğindeki araştırma, hormonal dengesizlik, stres, yaşlanma veya kemoterapi tedavisi gibi faktörlerle ilişkili kellik veya alopesi yaşayan insanları destekleyebilecek yeni ilaçlara öncülük edebilir.
Araştırma Nature Cell Biology dergisinde yayınlandı.
Saç folikülü kök hücreleri, saç folikülünde uzun ömürlü hücrelerdir; deride bulunurlar ve kişinin yaşamı boyunca saç üretirler. “Hareketsiz”dirler, bu normalde pasif oldukları anlamına gelir, ancak yeni saç büyümesi gerçekleştiği zaman yeni saç döngüsü boyunca çabucak harekete geçerler. Saç folikülü kök hücrelerinin pasifliği birçok faktör tarafından düzenlenir. Bazı durumlarda ise saç dökülmesine neden olacak şekilde aktifleşmede başarısız olurlar.
Bu çalışmada, Eli ve Edythe Rejeneratif Tıp ve Kök Hücre Araştırma Merkezi’nden Christofk ve Lowry, saç folikülü kök hücrelerinin metabolizmasının diğer deri hücrelerinden farklı olduğunu buldu. Hücresel metabolizma, hücrelerin bölünmesi, enerjisi üretilmesi ve çevreye tepki vermeleri için gerekli besinlerin parçalanmasını içerir. Metabolizma süreci bu besinleri, metabolitleri üretmek için değiştiren enzimleri kullanır. Saç folikülü kök hücreleri kan akışındaki besin glikozunu (bir şeker türü) tüketirken, sonuçta piruvat olarak adlandırılan bir metabolit üretmek için glikozu işlerler. Daha sonra hücreler, pirüvatı ya mitokondrilerine (hücrenin enerji üreten bir bölümü) gönderebilir ya da laktat olarak adlandırılan diğer bir metabolite dönüştürebilirler.
Biyoloji Kimyası ve Moleküler ve Tıp Farmokolojisi’nde Doçent Christofk, “Saç folikülü kök hücre metabolizması hakkındaki gözlemlerimiz, pirüvatın mitokondriye girmesinin genetik olarak azalmasının saç folikülü kök hücrelerini daha fazla laktat yapmaya zorlayıp zorlamayacağını araştırmamızı sağladı ve eğer bu hücreleri aktive ederse saçlar daha çabuk büyür”, dedi.
Araştırma ekibi önce farelerde genetik olarak laktat üretimini engelledi ve bunun saç folikülü kök hücre aktivasyonunu önlediğini gösterdi. Diğer taraftan, Utah Üniversitesi’ndeki Rutter laboratuvarı ile işbirliği yaparak, farelerde genetik olarak laktat üretimini arttırdılar ve bu saç folikülü kök hücre aktivasyonunu hızlandırdı ve saç döngüsü arttı.
Moleküler, Hücre ve Gelişim Biyolojisi Profesörü Lowry, “Bundan önce hiç kimse laktatın artmasının veya azalmasının saç folikülü kök hücreleri üzerinde etkisi olduğunu bilmiyordu. Farelerde laktat üretiminin değiştirilmesinin saç büyümesini nasıl etkilediğini gördükten sonra, cilde uygulanabilecek ve aynı etkiye sahip olabilecek potansiyel ilaçları aramamıza yol açtı”, dedi.
Ekip, farelerin derisine uygulandığında, saç folikülü kök hücrelerini, laktat üretimini teşvik etmek için farklı şekillerde etkileyen iki ilaç belirledi. RCGD423 adı verilen ilk ilaç, JAK-Stat adı verilen ve hücrenin dışından hücrenin çekirdeğine bilgi aktaran hücresel bir sinyal yolunu aktive eder. Araştırma, JAK-Stat aktivasyonunun laktat üretiminin artmasına yol açtığını ve bunun da saç folikülü kök hücre aktivasyonunu ve daha hızlı saç büyümesini sağladığını gösterdi. UK5099 adı verilen diğer ilaç, piruvatın mitokondriye girmesini engeller; bu da, saç folikülü kök hücrelerinde laktat üretimini zorlar ve farelerde saç büyümesini hızlandırır.
Lowry’nin laboratuvarında doktora öncesi stajyer olan ve çalışmanın ilk yazarı Aimee Flores, “Bu çalışma sayesinde, kök hücreleri harekete geçirmenin yeni yolları hakkında birçok ilginç bakış açısı kazandık”, dedi ve şunları söyledi: “Saç folikülü kök hücreleri yoluyla saç büyümesini uyarmak için ilaç kullanma fikri, kadın ve erkeklerde saç kaybıyla uğraşan milyonlarca insan olduğu göz önüne alındığında oldukça umut vericidir. Bence metabolizmanın saç büyümesinde ve kök hücrelerde genel olarak oynadığı kritik rolü anlamak için yeni başladık. Bu yeni bulguların saç dökülmesi ve ötesindeki potansiyel uygulamaları için sabırsızlıkla bekliyorum.”
Saç büyümesini desteklemek için RCGD423 kullanımı, UC Regents adına UCLA Teknoloji Geliştirme Grubu’nun hazırladığı geçici patent başvurusu ile kapsanmaktadır. Saç büyümesini desteklemek için UK5099 kullanımı, UC Regents adına UCLA Teknoloji Geliştirme Grubu’nun, mucitler olarak Lowry ve Christofk tarafından açılmış ayrı bir geçici patent ile kapsanmaktadır.
Yukarıda açıklanan deneysel ilaçlar yalnızca preklinik testlerde kullanıldı ve insanlarda test edilmedi veya insanlarda kullanılmak üzere Gıdalar ve İlaçlar İdaresi (FDA) tarafından güvenilir ve etkili olarak onaylanmadı.
Makale Referans: Aimee Flores, John Schell, Abigail S. Krall, David Jelinek, Matilde Miranda, Melina Grigorian, Daniel Braas, Andrew C. White, Jessica L. Zhou, Nicholas A. Graham, Thomas Graeber, Pankaj Seth, Denis Evseenko, Hilary A. Coller, Jared Rutter, Heather R. Christofk, William E. Lowry. Lactate dehydrogenase activity drives hair follicle stem cell activation. Nature Cell Biology, 2017; DOI: 10.1038/ncb3575
Kaynak : sciencedaily.com

